کبد در قسمت بالا و راست شکم قرار دارد . گاهی لازم میشه به علت کیستها یا توده هایی که داخل ان ایجاد میشه تحت عمل جراحی قرار بگیره . گاهی هم برای تشخیص بیماری کبدی لازم میشه ازش نمونه برداری بشه.
- کیست هیداتید(Hydatid cyst)
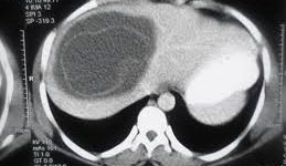
این بیماری یه بیماری انگلی است که از سگ و به واسطه مصرف گوشت الوده گوسفند ممکنه به انسان منتقل بشه . بیشتر داخل کبد و ریه قرار میگیره و رشد میکنه . فرد مبتلا ممکنه مدتها بدون علامت باشه ولی وقتی بزرگ بشه درد ایجاد میکنه . تشخیص با سونوگرافی هست .تست از طریق خون هم کمک میکنه .
وقتی تشخیص داده شد باید ریه هم بررسی بشه که کیست نداشته باشه. درمانش اکثرا در حالتی که کیست زنده است اینه که جراحی بشه و کیست تخلیه بشه. این عمل به صورت باز و یا لاپاراسکوپیک قابل انجام هست . مصرف آلبندازول قبل و بعد عمل کمک کننده است .
جراحی کیسه صفرا (laparoscopic cholecystectomy)
کیسه صفرا چسبده به کبد قرار داره و محلی برای ذخیره صفراست. به علل زیادی ممکنه سنگ داخل کیسه صفرا تشکیل بشه. مدتها ممکنه شما سنگ داشته باشید اما هیچ علامتی نداشته باشید .چون درد ناشی از سنگ بیشتر در وسط و بالای شکم حس میشه ممکنه شما با درد معده اشتباه بگیرید و مدتی درمان اشتباهی بکنید. دردش معمولا با خوردن غذای چرب و سنگین شروع میشه.تشخیص با انجام سونوگرافی هست. درمانش هم جراحی هست. سنگی که درد گهگاهی میده میتونه عارضه هم ایجاد کنه پس تا قبل عارضه دار شدن بهتره عمل کنید .
اکثر موارد روش جراحی لاپاراسکوپیک هست . با چند تا سوراخ ریز عمل انجام میشه .نگران نیاشید بعد از خروج کیسه صفرا شما مشکلی ندارید و بصورت عادی غذا بخورید و زندگی کنید.






